Ciencia1.com - Ciencia y Tecnología - Innovación en movimiento: explorando las fronteras de la ciencia y la tecnología. Noticias sobre espacio, ingeniería, tierra, historia, naturalezas, economía, espacio, ingeniería, tierra, historia, naturalezas, economía
Directorio|Noticias|Artículos|Videos|Imágenes|Blog|

 




Noticias | Médicas | Medicina

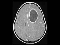
El sistema inmunológico y la terapia genética erradican un tumor cerebral

Viernes, 23/1/2009 - 10:56
Un equipo de investigadores ha conseguido erradicar un tipo de cáncer cerebral muy agresivo, el glioblastoma multiforme, en ratones de laboratorio gracias a la combinación de la acción del sistema inmunológico con una terapia genética y química.

Leer más...

Medirse la cintura, un modo de conocer los riesgos de sufrir un ataque cerebral

Jueves, 22/1/2009 - 13:58
Según estudios, para reducir riesgos de accidentes cerebrovasculares (ACV) el contorno de la cintura no debería superar los 102 centímetros en el caso de los hombres y los 88 en las mujeres. La distribución de la grasa en el cuerpo es clave para comprender el problema

Leer más...

La clave de un estómago pequeño

Martes, 20/1/2009 - 13:46
Científicos británicos descubren una posible forma de combatir la obesidad: evitar que el estómago se expanda.

Leer más...

Registran los niveles de oxígeno en sangre más bajos en humanos sanos durante una expedición al Everest

Lunes, 19/1/2009 - 15:53
Investigadores del Colegio Universitario de Londres en Reino Unido han registrado los menores niveles de oxígeno registrados en humanos sanos entre los escaladores de una expedición al Everest.

Leer más...

Estudio halla nueva forma de detener expansión cáncer pulmonar

Jueves, 15/1/2009 - 22:35
Las células del cáncer pulmonar producen un compuesto que ayuda a la expansión del tumor a otras partes del cuerpo, según un hallazgo que podría permitir desarrollar nuevas formas de prevenir la metástasis, informaron hoy investigadores.

Leer más...

Caminatas campestres son buenas para el cerebro y el cuerpo

Miércoles, 14/1/2009 - 14:8
Un estudio de la Universidad de Michigan muestra que la 'interacción con la naturaleza', inclusive en invierno, mejora la memoria y la concentración.

Leer más...

Hacer gimnasia durante el almuerzo mejora rendimiento

Jueves, 8/1/2009 - 12:4
Un estudio comprobó que las personas que hacían ejercicio regularmente terminaban su trabajo en menos tiempo, organizaban mejor sus quehaceres y tenían mayor manejo del estrés.

Leer más...

Nueva vía terapéutica en la leucemia linfoblástica

Jueves, 8/1/2009 - 7:20
Los inhibidores del oncogén Notch1 en combinación con los glucocorticoides han demostrado eficacia en un estudio en modelo murino vivo de leucemia linfoblástica de células T con mínima toxicidad.

Leer más...

Un biomarcador podría alertar de la aparición de la hipertensión o la fibrosis

Domingo, 14/12/2008 - 14:16
Se trata de una enzima celular que provoca una mala regulación del tono vascular

Leer más...

Identifican un biomarcador que podría alertar de la aparición de la hipertensión o fibrosis

Miércoles, 10/12/2008 - 21:23
Las investigaciones del Centro de Investigaciones Biológicas del CSIC en Madrid han identificado un biomarcador que podría servir como alerta temprana del estrés oxidativo provocado por los radicales libres y, por tanto, del riesgo de desarrollar patologías como hipertensión o fibrosis.

Leer más...

Una investigación permite saber qué terapias son mejores contra el cáncer de colon

Miércoles, 10/12/2008 - 19:27
Encontrar la mejor terapia para cada paciente con un cáncer colorrectal es fundamental para poder combatir el tumor. Esa es una de las finalidades de un proyecto nacional en el que participa el Hospital Regional Carlos Haya.

Leer más...

Una esperanza para los 'hombres de piedra'

Lunes, 8/12/2008 - 22:38
un grupo de investigadores del Hospital General de Massachusetts y de la Facultad de Medicina de Harvard, en Estados Unidos, han dado con la clave de un tratamiento que, en ratones, consigue reducir el proceso de osificación progresivo propio de esta dolencia.

Leer más...

Investigadores austriacos logran avances importantes en la regeneración de la retina

Martes, 2/12/2008 - 7:46
Emplearon células del epitelio pigmentario retiniano con el objetivo de regenerar la retina de enfermos de DMAE.

Leer más...

Pruebas alentadoras de medicamento contra el lupus eritematoso

Viernes, 28/11/2008 - 17:50
Los primeros resultados confirman que la molécula bautizada como péptido P140 constituye un 'muy buen candidato' para tratar el lupus eritematoso.

Leer más...

 21 



Imágenes

 


Videos

 


Artículos


Entradas


Libros

 



Home Atrás Arriba


Estamos en:
Ciencia1.com:
2026 Ciencia1.com - Ciencia y Tecnología. Permitida la reproducción siempre que se señale la fuente y enlace correspondiente a cada material info@ciencia1.com